الاحساء
زهير بن جمعة الغزال
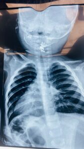
تمكّن فريق طبي في مدينة الصدر الطبية من إنقاذ حياة طفلة بعمر سنة ونصف بعد تعرضها لحالة اختناق شديدة نتيجة ابتلاعها مشبك شعر (قرّاصة) استقر في مدخل المجرى التنفسي.
وأوضحت الطبيبة الاختصاص جراحة الأنف والأذن والحنجرة الدكتورة فرقان حميد محمد” أن الطفلة أُدخلت إلى صالة عمليات الطوارئ وهي تعاني من اختناق وسعال شديدين وعلى الفور تم إجراء الفحوصات والأشعة اللازمة التي أظهرت وجود جسم غريب في مدخل المجرى التنفسي.



وأضافت أن الفريق الجراحي برئاستها وبمشاركة الأطباء المقيمين الأقدمين إلى جانب فريق التخدير والتمريض باشر بإجراء عملية دقيقة باستخدام الناظور حيث تم استخراج مشبك الشعر بنجاح دون مضاعفات.
وأكدت أن الطفلة خرجت من العملية وهي بصحة جيدة بعد استقرار حالتها مشيدةً بجهود الفريق الطبي والجراحي والتنسيق العالي الذي أسهم في إنقاذ حياة المريضة.













