الاحساء
زهير بن جمعه الغزال
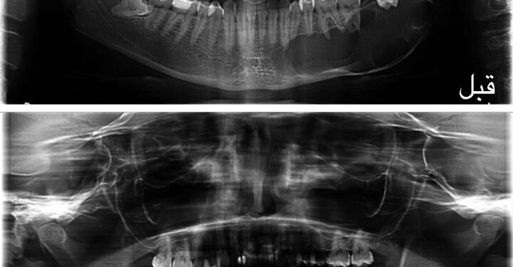
حقّق قسم جراحة الفم والوجه والفكين بمدينة الملك سعود الطبية عضو تجمع الرياض الصحي الأول إنجازًا نوعيًا يتمثل في ابتكار تقنية علاجية مبتكرة للأورام الكيراتينية في الوجه والفكين، حملت اسم تقنية السحيم والتريكي، نسبةً إلى مبتكريها د. فيصل بن سحيم ود. هيثم بن تريكي، استشاريي جراحة الفم والوجه والفكين.
وتتميّز التقنية الجديدة بنتائج غير مسبوقة، حيث نجحت في خفض معدل انتكاس الحالات إلى ما يقارب الصفر، مقارنةً بالطرق التقليدية التي كانت تصل نسبة عودة الورم فيها إلى أكثر من 60%. كما اختصرت الإجراءات العلاجية، إذ كانت بعض العمليات في الحالات المتقدمة من هذه الأورام تستغرق من 6 إلى 8 ساعات تحت التخدير الكامل، وتتطلب استئصال الجزء المصاب من الفك وإعادة بنائه بتكاليف مرتفعة، بينما قدّمت التقنية الجديدة حلولًا أكثر فاعلية وأقل كلفة.

وقد جرى اعتماد هذه التقنية عالميًا بعد نشرها في مجلة علمية بريطانية مرموقة، إضافةً إلى تسجيلها في المكتبة الوطنية الأمريكية للطب والمركز الوطني للمعلومات والتقنية الحيوية (PubMed)، ما يعكس مكانتها الطبية المتميزة.
يُذكر أن تطبيق هذه التقنية بدأ منذ عام 2013م، وتم خلالها علاج عدد من المرضى بنجاح كبير، مما يؤكد فعالية هذا الابتكار وجدواه في تعزيز جودة الرعاية الصحية، مع إمكانية توسيع تطبيقه مستقبلًا لعلاج أورام مشابهة في مجال جراحة الفم والوجه والفكين.













